公式ブログ

BLOG

ミロ歯科公式ブログ

親知らずが生えてきたら抜くか抜かないか⁈

親知らずが生えてくると「痛い」「抜いたよ」と聞く事が多いと思います。

実際に診療に携わっていると、親知らずが自分にはあるのか、抜いた方がいいのかを相談される事は多々あります。

どう解決するか、メリットデメリットをみていきます。

親知らずを残す場合

①メリット

痛みもなく、上下どちらも生えていてきちんと噛み合っていて、ご自身でのブラッシングも出来るのであれば、他の歯と同様の扱いで問題ありません。これが一番いいですね。

そこがクリアしていれば、お口の中で一番力がかかり噛むのに重要な第二大臼歯(12歳臼歯)が使えなくなった時にブリッジとして使う事があるのできちんと残せるのであればいいですね。

②デメリット

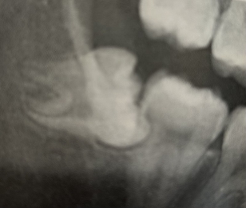
親知らずはきちんとした向きや高さで生えてきてくるのが難しい歯です。

その事により、ブラッシングが不良になったり、第二大臼歯に悪い影響を及ぼします。

手前の歯の第二大臼歯との間の溝が出来たり、歯肉に埋まっている部分があると、その溝に細菌が増えて腫れや痛みの原因になります。

又、第二大臼歯の根っこを吸収してしまったり、溝から細菌が入り込み虫歯になってしまいます。

・このメリットデメリットを踏まえて、抜くか抜かないかを判断する事になります。

抜く場合は、生え方により骨を削って親知らずを分割して抜いたり、抜いた後に痛みや腫れがあります。歯が神経に近い場合は一時的に少し麻痺が残る場合もあったり、大きな病院を紹介する場合もあります。抜いた後は、抗生物質を飲みます。

その後、歯肉が正常に戻ってくるまでは物が詰まったり、磨きにくいですが、落ち着けば痛みもなくブラッシングもしやすくなります。

又抜いたところは何も入れたりはせずそのままです。

まとめ

親知らずを抜くか抜かないかは、親知らずの生え方や本数、ご自身でのブラッシング状況によります。痛みもなく正常に生えていて、ブラッシングをきちんとする事により残すことは出来るという事です。

医療法人社団美歯会 みろ歯科宇都宮歯科診療所
歯科衛生士 山元千春

関連記事

ページ上部へ戻る